設備紹介
equipment
板橋区大山駅の歯医者 ミント歯科・矯正歯科 大山では、
的確な診断と治療を支えるための高度な医療機器をはじめ、
院内感染から患者さんを守るための衛生設備や、痛みや負担を軽減する治療機器など、
厳選した設備を多数導入しています。
digital

低被ばくで、広い範囲の撮影が可能なCT(3D撮影)機器です。デジタル方式ですので、被ばく量が従来のものと比べ各段に軽減されています。
3D撮影ができることにより、多角的な診断が可能となり、インプラント治療などにおける診断をはじめ、複雑な治療である親知らずの抜歯や根管治療を安全に、且つより正確に行うことが可能です。

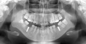
パノラマレントゲン(2D)撮影

歯科用CT(3Dレントゲン)撮影

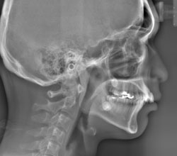
セファロ(側面)

セファロ(正面)

歯型採取をより早く、そして快適にする超精密口腔内スキャナーを、マウスピース矯正(インビザライン)用と、詰め物や被せ物といった治療用の2台導入しています。
特殊なカメラでお口の中を様々な角度から撮影し、口腔内を3D画像データとしてスキャンする機材です。
非常に精度が高く、撮影時間も短時間なので、印象材(柔らかいガムのような物)を用いた通常の歯型採取に比べ、患者さんの負担が大幅に軽減されます。
インビザラインと連動できるiTeroでは治療前後のシミュレーションもできます!

型取りの
不快感を軽減
従来の粘土のような
歯型材料(印象材)不使用

その場で
確認できる
スキャンした画像を
すぐにモニターで確認可能

技工物の精度向上
模型と違い変形や破損せず
高精度な矯正装置や補綴物に

治療がスムーズ
模型の制作・輸送が不要で
技工物完成までを大幅短縮
clinical

当院が導入しているマイクロスコープ(手術用顕微鏡)は、業界でも信頼性の高いカール・ツァイス社のマイクロスコープです。
明るい視野、クリアな像質、色再現性に優れた拡大視野にて、肉眼で見落としていたものが見え、治療精度が格段に向上します。肉眼で発見できない箇所もマイクロスコープを利用することによって、問題のある部位を目で確認しながら逃さず治療することが可能です。
また、マイクロスコープを用いた治療であれば、むし歯の箇所のみをピンポイントで治療することも可能なので、健康な歯を削らずに・必要最小限に治療することができます。

診断の向上
肉眼では見えないような
小さなむし歯や異変の早期発見

歯の保存
切削量を抑えたり、精密な
根管(神経)の治療を可能に

高精度な治療
詰め物・被せ物の適合精度を高め
美しく仕上げる

幅広い治療で活躍
インプラントや根管治療、
審美修復治療などで活躍


歯ぐきの切開や止血に使用します。麻酔をすれば痛みなく処置できるので、少しでも痛みが少ない治療を実現するための高性能な高周波電気メスです。

患者さんは必ず歯科医院に不安を持って来院されると思います。少しでも不安を解消し患者さんが歯科治療に抵抗を感じないように、痛みの部分を少しでも無くせるように、板橋区の歯医者 ミント歯科・矯正歯科 大山では「痛みの少ない治療=無痛治療」に取り組んでおります。



神経にまで至ったむし歯などを対象に行う根管治療(歯の根の治療)は、肉眼での把握が難しく再発リスクや治療後のトラブルが生じやすい複雑な分野です。大山駅の歯医者 ミント歯科・矯正歯科 大山では、不確かな勘に頼らずマイクロスコープをはじめとした先進の器具器材を活用し、精度を高めています。



患者さんのお口にぴったり適合する詰め物・被せ物・義歯をご提供するために、大山駅の歯医者 ミント歯科・矯正歯科 大山では、デジタル印象によって高精度の口腔内データを採取しています。さらに院内に歯科技工士が在籍することで、補綴物の設計から作製まで全て院内で完結させることができます。







hygiene

インプラントなどの外科的処置をはじめ歯周外科など高度化する歯科医療。治療器材を通じた交差感染防止の標準予防策も高度化に応じた滅菌のクオリティが求められています。
オートクレーブは、定められた温度と圧力の飽和水蒸気を作り、加熱することで滅菌する装置です。
高圧蒸気滅菌器(オートクレーブ)は、医療機関に欠かせない滅菌器の一つです。


